DENTAL IMPLANTS  

DENTAL AESTHETICS 

PREMIER ISO 9001:2008 CERTIFIED DENTAL CENTRE    

CHEEMA DENTAL IMPLANT CENTRE
213 MODEL TOWN
Opp. Lane Sanjay Krate School
JALANDHAR, PUNJAB 144003
India

ph: 919814603002
alt: 911814623002

info@dentalimplantsjalandhar.com

Facebook

  • Home
  • TESTIMONIALClick to open the TESTIMONIAL menu
    • IMPLANT CASES
  • DENTAL IMPLANT VIDEO gallery
  • dental implant videos 2
  • Dental Testimonial Videos 3
  • Dental Implants india videos 4
  • implant patient videos 5
  • videos 6
  • Video Gallery 7
  • video gallery 8
  • Contact Us
  • Online Payment
  • online dental appointment
  • Dental Implant videos Punjabi
  • DENTAL IMPLANTS IMAGE GALLERYClick to open the DENTAL IMPLANTS IMAGE GALLERY menu
    • FRONT TEETH IMPLANTS
  • KNOW YOUR DOCTOR
  • About Us
  • dental implants
  • SERVICES
  • NEWS AND ACHIEVEMENTS
  • TECHONOLOGY
  • Sterlization
  • VIEW OF DENTAL OFFICE
  • COMPUTER GUIDED DENTAL IMPLANTS
  • IMPLANT FOR IMMEDIATE EXTRACTION CASES
  • NOBEL ACTIVE DENTAL IMPLANT
  • IMMEDIATE FUNCTION DENTAL IMPLANTS
  • MULTIMEDIA PRESENTATION ABOUT DENTAL IMPLANTS
  • BONE GRAFTING
  • aesthetic dentistry
  • HOLLYWOOD SMILES
  • smile design video gallery
  • METAL FREE CROWN BRIDGE
  • COSMETIC DENTISTRY PHOTO GALLERY
  • DENTAL VENEERS
  • TEETH WHITENING
  • LINKS
  • DENTAL TOURISM
  • ROOT CANAL TREATMENT
  • INVISALIGN
  • CROWNS IN 1 HOUR
  • KNOW ABOUT YOUR TEETH
  • All on 4: Teeth in a Day
  • BOI BCS KOS IMPLANTS

        DENTAL IMPLANTS IMAGE GALLERY

click on (thumbnail) images in a grid. You will be able to expand each image to see a larger view and a caption.

  • Missing 2 front teeth , patient broke in a car accident.
  • Palatal view of missing teeth
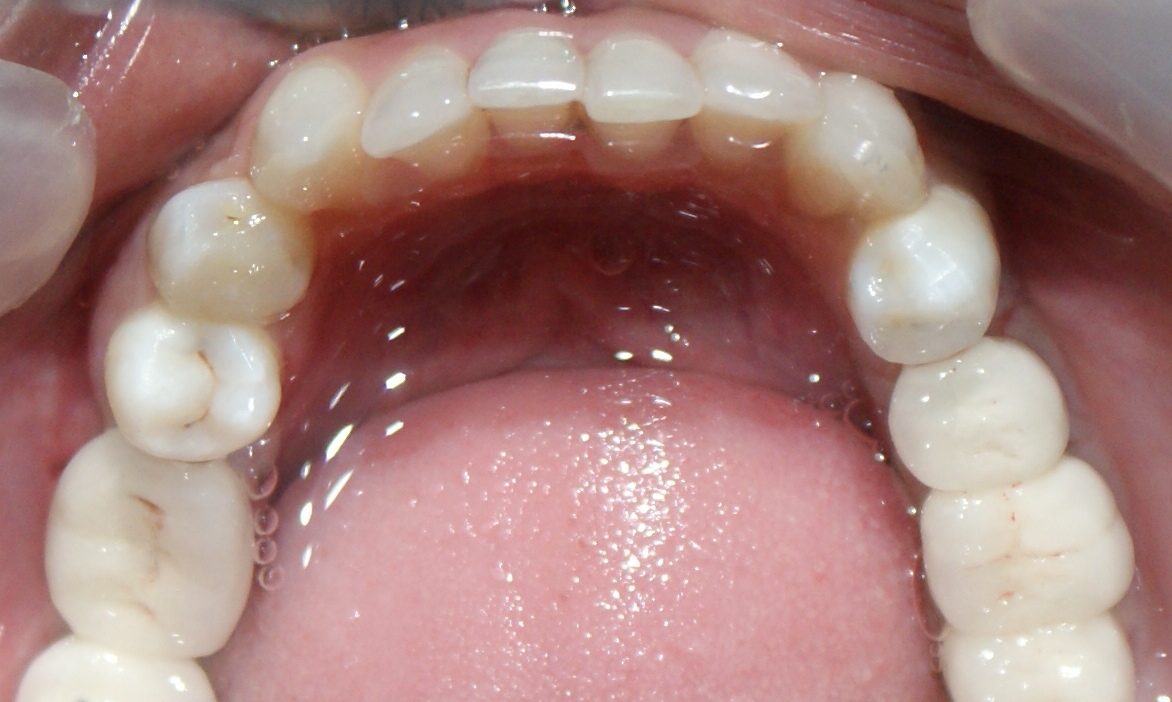
  • Missing teeth replaced with immediate loading dental implants
  • Replaced missing teeth with dental implants & permanent crowns
  • closer view
  • x-ray of left missing tooth
  • x-ray of right missing tooth
  • x-ray after
  • X Ray After
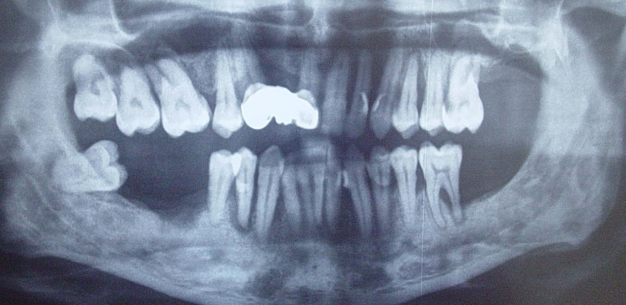
  • OPG Before
  • OPG After
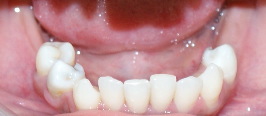
  • Broken front canine & missing lower 5 teeth
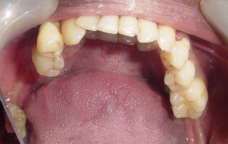
  • missing lower 5 back teeth
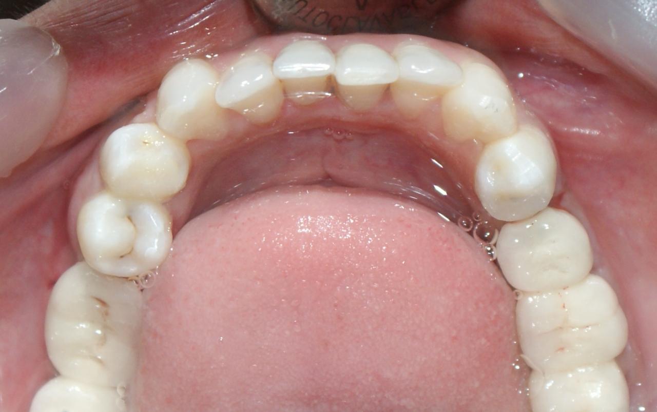
  • Missing lower teeth
  • view of missing upper canine tooth
  • Missing canine replaced with immediate loading active implant and crown
  • immediate Implants  placed
  • Immediate implants with permanent crowns
  • Immediate implants with permanent crowns
  • OPG xray before
  • OPG xray after
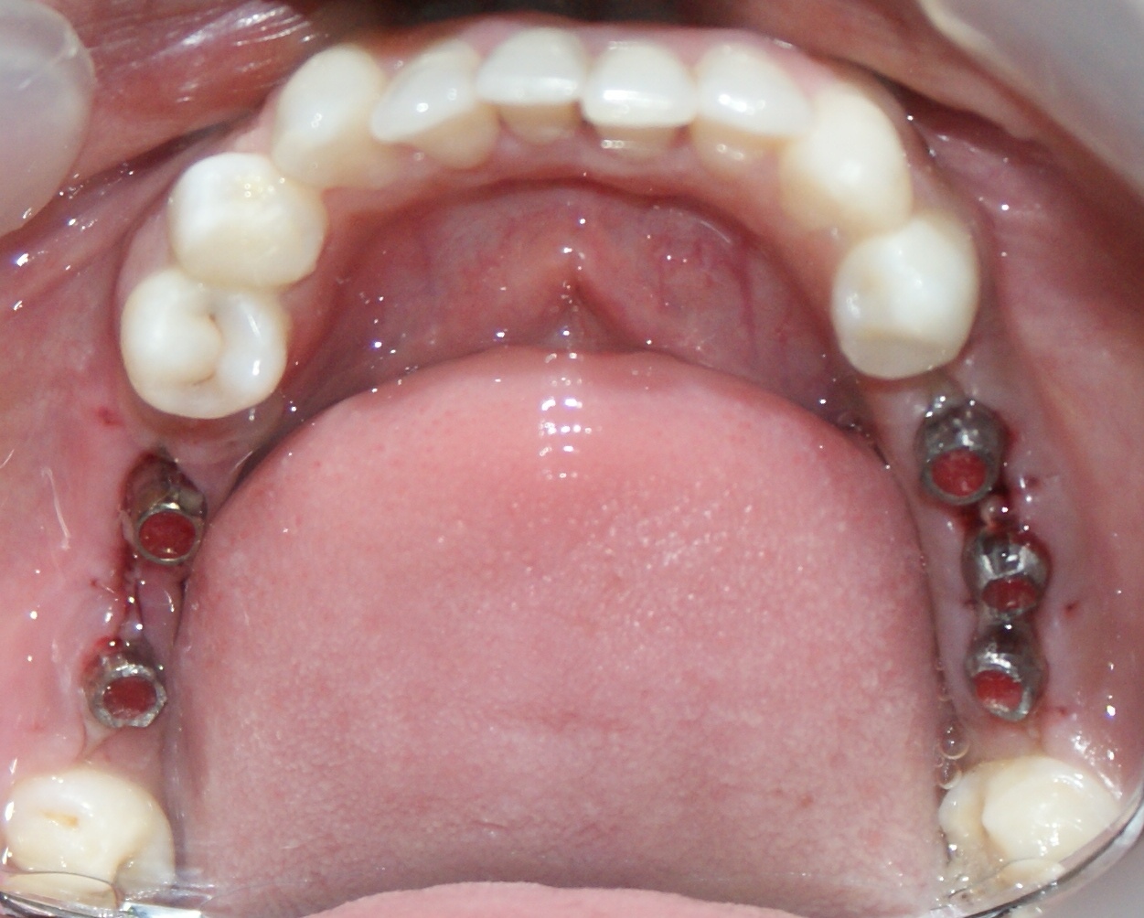
  • missing lower right 2  teeth
  • 2 implants placed for 2 missing teeth
  • implants with abutments
  • implants and permanent crowns
  • OPG Xray before
  • OPG X ray after

All rights reserved.

CHEEMA DENTAL IMPLANT CENTRE

& MULTI SPECIALITY DENTAL CLINIC

LINKS:-

www.youtube.com/drascheema

www.implantdentistjalandhar.com

CHEEMA DENTAL IMPLANT CENTRE
213 MODEL TOWN
Opp. Lane Sanjay Krate School
JALANDHAR, PUNJAB 144003
India

ph: 919814603002
alt: 911814623002

info@dentalimplantsjalandhar.com

Facebook