PREMIER ISO 9001:2008 CERTIFIED DENTAL CENTRE
CHEEMA DENTAL IMPLANT CENTRE
213 MODEL TOWN
Opp. Lane Sanjay Krate School
JALANDHAR, PUNJAB 144003
India
ph: 919814603002
alt: 911814623002
info


Root canal treatment (endodontics) is a routine dental procedure which is needed when the blood or nerve supply of a tooth (called pulp) becomes infected due to tooth decay or injury.
If the pulp is infected, it can cause severe dental pain, lead to an abscess and the tooth may need to be removed. Root canal treatment can prevent the spread of infection and save the tooth. After the treatment a crown is generally advised to make the tooth stronger and restore function.
Because of the modern advances and technology available with Dr cheema root canal treatment is a relatively simple procedure with little or no discomfort to the patient. In addition it is now possible to have a one sitting root canal treatment.
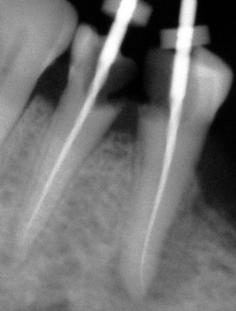
ROOT CANAL CASE OF PREMOLAR TEETH


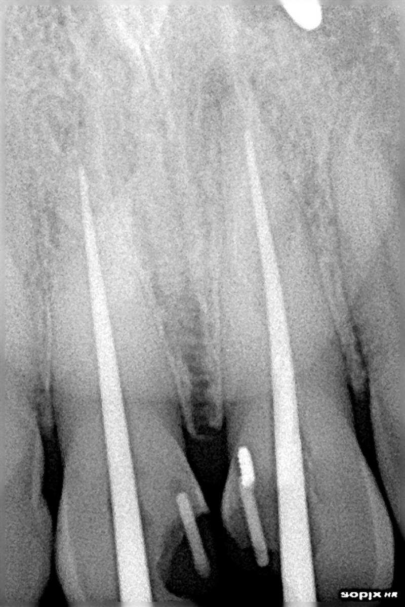
RE-TREATMENT ROOT CANAL CASE OF ANTERIOR
TEETH (FRONT TEETH)
ROOT CANAL DONE BY GERMAN DENTIST FAILED (IMPROPER ROOT CANAL OBTURATION)
Re treatment of the same done at cheema dental
Before After

ROOT CANAL OF MOLAR TOOTH
All endodontically (root canal treatment)treated teeth require crown
IF YOU HAVE ANY QUERY PLEASE FILL THE FORM BELOW WE WILL CONTACT YOU SHORTLY
All rights reserved.
CHEEMA DENTAL IMPLANT CENTRE
& MULTI SPECIALITY DENTAL CLINIC
LINKS:-
CHEEMA DENTAL IMPLANT CENTRE
213 MODEL TOWN
Opp. Lane Sanjay Krate School
JALANDHAR, PUNJAB 144003
India
ph: 919814603002
alt: 911814623002
info